Mediastinal Mass: A Diagnostic Odyssey from Iron Deficiency Anaemia to Thymoma
Main Article Content
Abstract
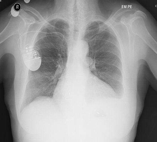
Thymic epithelial tumours represent a heterogeneous group of rare thoracic cancers. In adults, thymomas are the most common neoplasms arising in the thymus which is located in the anterior mediastinum. Mediastinal mass can be incidental findings on chest x-ray or present with systemic symptoms and/or direct effect of the mediastinal mass. The authors present the case of a 65-year woman with iron deficiency anaemia, hepatosplenomegaly, paravertebral node and mediastinal mass. Biopsy of the paravertebral node revealed extramedullary hematopoiesis (EMH). Biopsy of mediastinal mass revealed thymoma. She underwent video-assisted thoracoscopic surgery (VATS) thymectomy. The lesion was classified by the World Health Organization (WHO) system type B2 thymoma staging system of the tumor, node, metastasis (TNM) pT1a R0, Masaoka-Koga stage II. Three months later, thoracic computed tomography (CT) revealed a nodule inferior to the tumor site suspected of residual disease. The unexpected residual thymoma required treatment with radiotherapy. This case illustrates the difficulty of differentiating the etiology of anaemia. It highlights the current diagnostic approach to mediastinal mass.
Article Details

This work is licensed under a Creative Commons Attribution 4.0 International License.
Authors retain the copyright of their articles and grant the journal the right of first publication under the Creative Commons Attribution (CC BY) license, which allows others to share and adapt the work with proper attribution.
References
Barisas DAG, Choi K. Extramedullary hematopoiesis in cancer. Exp Mol Med. 2024 Mar 5;56(3):549-558. doi:10.1038/s12276-024-01192-4.
Rivera-Torruco G, Muench MO, Valle-Rios R. Exploring extramedullary hematopoiesis: unraveling the hematopoietic mi-croenvironments. Front Hematol. 2024 May 28;3:1371823. doi:10.3389/frhem.2024.1371823.
Aldapt MB, Haddad F, Abuasab T, et al. Extramedullary hematopoiesis and myelodysplastic syndrome. Blood. 2022;140(Suppl 1):12331-12332. doi:10.1182/blood-2022-163298.
Cenariu D, Iluta S, Zimta AA, Petrushev B, Qian L, et al. Extramedullary hematopoiesis of the liver and spleen. J Clin Med. 2021 Dec 13;10(24):5831. doi:10.3390/jcm10245831.
Georgakopoulou V, Damaskos C, Mantzouranis K, Melemeni D, et al. Invasive methods for the diagnosis and management of intrathoracic extramedullary hematopoiesis: a literature review. Respir Med Res. 2021 May;79:100815. doi:10.1016/j.resmer.2021.100815.
Yang X, Chen D, Long H, Zhu B. The mechanisms of pathological extramedullary hematopoiesis in diseases. Cell Mol Life Sci. 2020 Jul;77(14):2723-2738. doi:10.1007/s00018-020-03450-w.
Novais AG, Santos DP, Conceição M, Cunha S, Capelo J, et al. Thymoma and tubercoloma: unexpected coexistence. Eur J Case Rep Intern Med. 2021;8:2744. doi:10.12890/2021_002744.
Gomes A, Nascimento G, Barcelos N, Castro H, Assunção J. Thymoma: clinical features, diagnosis, and emerging therapies. Rev Iberoam Humanid Cienc Educ. 2025;11(7):20077. doi:10.51891/rease.v11i7.20077.
Sousa B, Araújo A, Teresina A, Azevedo I, Soares M, Sousa O. Malignant thymomas. Rev Port Pneumol. 2007;13(4):553-585.
Azevedo P, Magriço R, Luiz H, Judas T, Sanches F, Namora J. Dysphagia: an uncommon manifestation of thymoma. Rev Soc Port Med Interna. 2014;21(1):1-3.
Kallas E, Hueb A, et al. Middle mediastinal thymoma: case report. Braz J Cardiovasc Surg. 2005;20(2):189-191.
Alqaidy D. Thymoma: an overview. Diagnostics (Basel). 2023 Sep 18;13(18):2982. doi:10.3390/diagnostics13182982.
Terra RM, Milanez-de-Campos JR, Haddad R, Trindade JRM, et al. Cirurgia torácica robótica para resseção de timoma e tumores tímicos: desenvolvimento técnico e experiência inicial. J Bras Pneumol. 2020;46(1):e20180315.
Song Z, Jin X, Zhang Y. Treatment and prognosis of type B2 thymoma. World J Surg Oncol. 2014 Sep 20;12:291. doi:10.1186/1477-7819-12-291.
Girard N, Ruffini E, Marx A, Faivre-Finn C, Peters S. Thymic epithelial tumours: ESMO clinical practice guidelines for diagnosis, treatment and follow-up. Ann Oncol. 2015 Sep;26 Suppl 5:v40-55. doi:10.1093/annonc/mdv277.