This cover image is based on the Clinical Case Report entitled Mycobacterium abscessus subsp. massiliense infection secondary to traumatic anterior cruciate ligament reconstruction surgery by Dr. Christopher P Emerson and colleagues. This article demonstrated radiographic and artthroscopic images of a 67-year-old male patient diagnosed with Mycobacterium abscesses following anterior criciate ligament surgery.

Published: 2021-10-01

Editorial

Howard Lopes Ribeiro Junior

68-69

Hemorragia abdominal difusa após acidente botrópico: relato de caso

João Wilson da Rocha, Honolfo Elves Simões , Evaldo Jorge Cassoma

1-8

Mycobacterium abscessus subsp. massiliense infection secondary to traumatic anterior cruciate ligament reconstruction surgery

Christopher P. Emerson, Hogan Brecount, Daniel Quintero, Dylan N. Greif, Jean Jose, Lee Kaplan

22-30

Possible IgG4-related respiratory disease (IgG4-RRD) - a rare presentation as a Pancoast tumour-like

Inês S. Pereira, Diogo Fonseca, Margarida Dias, Ana Barroso, Patrícia Pinto, Daniela Machado

45-49

Immediate and late acute effect of moderate continuous and high intensity interval training on hypertension stage I: case report

Ana Luísa Freitas Siqueira, Gabriela Souza Faria, Pedro de Oliveira Neto, Maria Paula Fabrício de Andrade, Bruna Pereira Molina Cruz, Denise Mayumi Tanaka, Luciana Duarte Novais Silva, Michel Reis Abdalla, George Kemil Abdalla, Douglas Reis Abdalla, Eduardo Elias Vieira de Carvalho

50-56

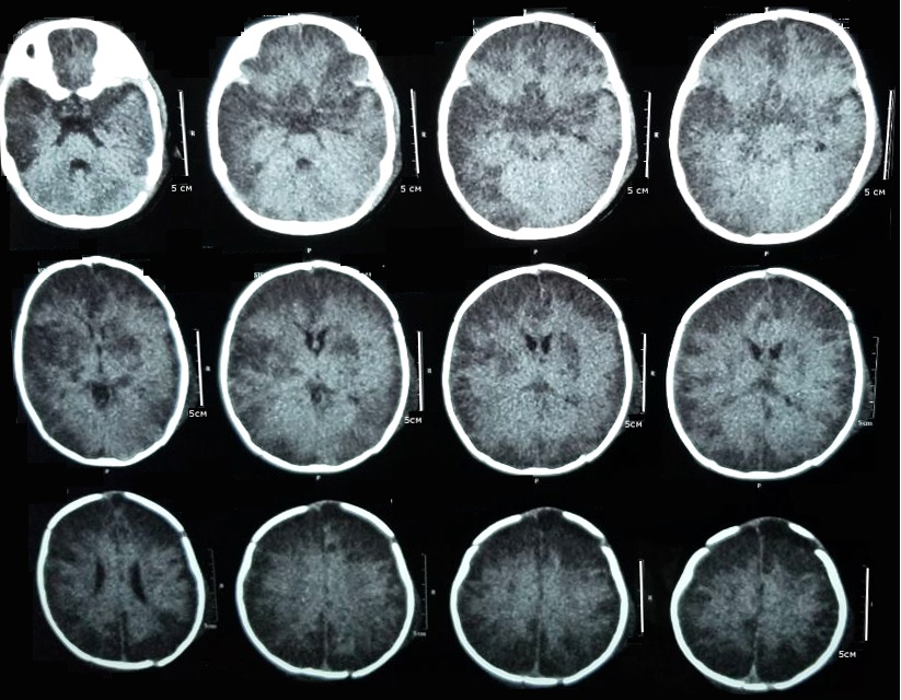
Complicated encephalitis in pediatrics: a case report

Marília Freitas Santana, Lara Moreira Ferreira, Gabriele Sousa Barbosa, Liane Carvalho de Brito de Souza, Carlos Eduardo Jucá, Washington Aspilicueta Pinto Filho

79-83

Liver cavernosal hemanginoma in childhood: a case report

Aloysio Ikaro Martins Coelho Costa , Erica Paulinne Pereira, Fernando Fernandes Rodrigues, Lorrana Xavier do Nascimento , Natalia Verzeletti Oliveira , Tiago Magalhães Cardoso

84-89

Tumor adrenocortical metastático, uma apresentação atípica: relato de caso

Rodrigo Firmino Schirmbeck Moraes, Emanuela Lando, Julia Pastorello, Cristiane Pagnussat Cechetti, Camila dos Santos do Amaral, Douglas Carvalho Cogo, Giovana Zerwes Vacaro, Marina Ractz Bueno, Nicoli Taiana Henn, Robson Rottenfusser, Alexandre Bueno da Silva, Eduardo Lima Tigre

98-104

Conduta clínica em paciente com abscesso odontogênico grave – relato de caso

Adopho Antoniol, Luís Fernando Tassinari Noé Brazil, Bruna Marquezini, Luíz Rodrigo Cortês Lopes

124-134

Osteochondritis dissecans of the humeral trochlea in two pediatric athletes: two cases and review of literature

Ramakanth Yakkanti, Daniel Quintero, Cole Southworth, Lee Kaplan, Jean Jose

175-189

Artery of Adamkiewicz and the clinical repercussion of its lesion in thoracoabdominal surgeries: a systematic review

Idna Lara Goes de Sena, Maria Regina Cardoso Linhares Oliveira Lima, Lia de Oliveira Jereissati, Rafaella Iughetti da Costa, Victor Oliveira Araújo, Isadora Mônica Ponte de Oliveira, Lara Maria de Oliveira Paiva Freitas, Maria Victoria Rocha Fontenele Maia, Aline Moreira Lócio, Júlio César Claudino dos Santos

9-21

Neurological manifestations associated with COVID- 19: a review

Yasmim Berni Ferreira, Flávia Maria Ramos Freire, Victor Oliveira Araújo, Isadora Mônica Ponte de Oliveira, Lara Maria de Oliveira Paiva Freitas, Júlio César Claudino dos Santos

31-44

Ocorrência de Úlcera de Abomaso em Bovinos de Leite no Sudoeste do Paraná

Anderson Bedin, Alcione Santa Catarina, Fabricio Bernardi, Marina Gabriela Possa, Larisa Gobato, Leonardo Gruchouskei, Luíz Guilherme Dercore Benevenuto, Priscila Emiko Kobayashi, Mayane Faccin, Carlos Eduardo Fonseca-Alves, Fabiana Elias

57-67

Evaluation of preoperative oral hygiene in patients with maxillofacial fractures: a retrospective clinical study

Bruno Frota Amora Silva, Danilo Lopes Ferreira Lima, Roberto de Sousa Lima-Filho, Rubens de Paulo Sampaio Barros, Vera Araújo Magalhães, Carla Welch da Silva, Eymard Vieira Borges, George Matos Ferreira Gomes-Junior, Paulo Henrique Rodrigues Carvalho, Breno Souza Benevides, Stélio da Conceição Araújo-Neto , José Maria Sampaio Menezes-Junior , Jonas Nogueira Ferreira Maciel Gusmão

90-97

Avaliação do uso de anestésico tópico por cirurgiões dentistas professores de uma universidade particular do Nordeste Brasileiro

Therezinha de Jesus Gurgel Araújo , Danielle Frota de Albuquerque, Márcia Vieira Barreira Barroso , Heliene Linhares Matos, Israel Leal Cavalcante, José Rômulo de Medeiros, Fernando André Campos Viana, Sergio Luís da Silva Pereira, Jonas Nogueira Ferreira Maciel Gusmão, Bruno Frota Amora Silva

160-174

Bisphosphonate-induced osteonecrosis of the jaws: a literature review

Nayane de Andrade Teófilo , Caio Denardin, Thiago Quirino Mota da Silva , Túlio Garcia Margute , Andrei Rabenschlag Rossato , Max Soares Maione, Tiago Garcia Margute , Igor Fonseca dos Santos

190-198

Innovation and humanization in child care: professionals from Ceará who make the difference

Lucas Giannini de Oliveira Conrado Arruda, Marília Freitas Santana, Gabriele Sousa Barbosa , Amanda Medeiros de Lima , Igor Moreira Veras , Liane Carvalho de Brito de Souza , Flávio Lobo Maia, Rodrigo José Alencar de Castro, Danielle Moreira Collares , Josenília Maria Alves Gomes

114-123

Clinical, Neurophysiological and Histopatological correlations in Pure Neural Leprosy

Izabela Jardim Rodrigues Pitta, Bruno de Siqueira Mietto, Aron dos Santos Camilo, Sergio Luiz Gomes Antunes, Euzenir Nunes Sarno, Marcia Rodrigues Jardim

105-113

In vitro antifungal activity of Candida culture extracts against Trichophyton rubrum and Trichophyton mentagrophytes

Thiago Henrique Lemes, Guilherme Silva Torrezan, Carlos Roberto Polaquini, Luis Octavio Regasini, Bianca Gottardo de Almeida, Natália Seron Brizzotti-Mazuchi, Mariela Domiciano Ribeiro, Taiza Maschio-Lima, Maicon Henrique Caetano, Veridianna Camilo Pattini, Mario Henrique Paziani, Marcia Regina von Zeska Kress, João Paulo Zen Siqueira, Margarete Teresa Gottardo Almeida

135-152