The Brazilian Journal of Case Reports (BJCR) (ISSN 2763-583X) is an international and open access journal that operates with a continuous editorial and publication flow. Adopting a rigorous double-blind peer review process, the BJCR is committed to publishing high-quality, original contributions that are of significant interest to researchers in both human and animal health. Launched in 2021, the BJCR focuses on disseminating clinical studies that present rare and noteworthy findings which contribute to advancing medical knowledge. Our aim is to provide a platform for the documentation and discussion of unusual and significant clinical cases, offering valuable insights and fostering the development of new diagnostic and therapeutic approaches.

The journal welcomes submissions that detail clinical experiences, innovative case series, and critical analyses that highlight unique medical phenomena, novel treatment methods, and complex patient scenarios. By maintaining a diverse and interdisciplinary scope, the BJCR seeks to bridge gaps between various fields of medicine and veterinary science, encouraging a holistic understanding of health and disease. The BJCR is dedicated to ensuring accessibility and visibility of its publications through open access, thereby facilitating the global exchange of knowledge and supporting the scientific community in making impactful advancements in medical research.

The Journal features the following sections (all topics may related with human or animal studies):

  • Clinical Case Reports;
  • Clinical Imagens Reports;
  • Letter to editor (Correspondence or Comments).
Time to first decision: Two weeks.
 
Language: English is the official language of BJCR. However, we will also receive articles in Portuguese.
 
Aims and Scope

BJCR will consider any original case report that expands the field of general medical knowledge about human and/or veterinary sciences, and original review studies relating to clinical case reports.

All articles in the BJCR may follow one of the following topics, but not necessarily (all topics may related with human or animal studies):

  • Rare clinical findings;
  • Clinical images (ie. X-ray, CT scans, MRIs, and ultrasound);
  • Clinical Laboratory findings (ie. blood analysis, and histopathology);
  • Pathology diagnosis;
  • Surgery procedures

Article Processing Charges

All articles published in BJCR are open access and freely available online, immediately upon publication. APC is essential to cover the costs of all journal publishing functions. The APC for BJCR is USD120,00, for foreign authors, or R$500,00 for Brazillian authors. There are no charges for Letter to editor, submission or rejected articles, and no surcharges based on the article composition (ie. color figures or number of pages).

Scientific Mission

Our mission is the publication and digital visibility of national and international scientific research in the health area, with a focus on open access publications, which seek to disseminate the results of relevant scientific studies, peer-reviewed by a qualified editorial board, valuing quality, impact and its scientific and social relevance.

If you have any questions, please do not hesitate to contact us at bjcasereports@gmail.com or by Whatsapp (+558599186-4030).

Vol. 5 No. 1 (2025): January/December - 2025

This cover page represents the article titled "Harnessing the Power of Scientific Research for Societal Progress" which explores the critical role of scientific research in disseminating knowledge, guiding policy decisions, and addressing societal issues. The article highlights the impact of the COVID-19 pandemic on scientific research, emphasizing the importance of timely and accessible publications in managing public health crises. It discusses the necessity of evaluating the societal impact of research through open access and alternative metrics, ensuring rigorous peer review, and fostering effective science communication. Additionally, the article underscores the importance of educating young scientists about the broader implications of their work for societal progress. The Brazilian Journal of Case Reports is dedicated to promoting the significance of scientific research and invites authors to contribute their insights and discoveries to advance this vital cause.

Published: 2025-01-01

Cutaneous T-cell lymphoma of the mycosis fungoides type: report of case series

Yan de Castro Souza, Jandir Mendonça Nicacio, Fernando Dias Neto, Heverton Garcia de Oliveira, Dannyel Macedo Ribeiro, Tania Rita Moreno de Oliveira Fernandes

bjcr2

Osseointegration of a displaced dental implant in the maxillary sinus: a 7-year follow-up case report

Marcelo Rodrigues Azenha, Plauto Cristopher Aranha Watanabe, Sebastián Pérez Errázuriz, Luis Fernando Jardim, Ana Luisa Riul Sório

bjcr3

Xanthogranulomatous Pyelonephritis: An Uncommon Form of Pyelonephritis Highlighted in a Case Report

Danielle Malavazi Oliveira; Bárbara Sthefany de Paula Lacerda; Matheus Compart Hemerly, Maria Isabel Lima dos Santos, Weverton Machado Luchi

bjcr4

Pylephlebitis with Bacteremia from a Rare Bacterium: A Case Report of Septic Mesenteric-Portal Thrombophlebitis Associated with Acute Diverticulitis

Paula Heroso Moreira, Giovana Rezende Fernandes Costa Costa, Lucas Terasoto, Gabriel da Silva Eli, Barbara Loeser Faro, Pedro Henrique Garcia Parreira, Pedro Henrique Garcia Parreira, Adonis Nasr

bjcr5

A case of facial vein rupture induced by coughing

Hiroshi Hyakusoku, Shun Furukawa, Jun Aoyama, Meijin Nakayama

bjcr6

A case of a rare autoimmune disease: Vogt-Koyanagi-Harada disease

Banyama Marie Diabri, Yannick Laurent Tchenadoyo Bayala, Marcellin Bonkoungou, Awa Traoré, Joelle Wenlassida Stephanie Zabsonre/Tiendrebeogo, Dieu-Donné Ouedraogo

bjcr7

Trapdoor Fracture in a Child Following a Domestic Accident: Case Report

Marcelo Rodrigues Azenha, Rogerio Bentes Kato, Célio Armando Couto da Cunha Junior, Jorge Alex Pereira Rodrigues, Antonio Pablo Siqueira Taveira, Elker Silva de Oliveira

bjcr8

Malignant Rhabdoid Tumor of the Kidney in an 11-Month-Old Child: Case Report and Literature Review

Laura Mendes Lopes, Fabricio Grenteski, Carlos Roberto Naufel Júnior , Guilherme Andrade Coelho, Guilherme Ferrarini Furlan, Nertan Tefilli, José Anderson Feitoza , Igor Luna Peixoto

bjcr13

Acute Obstructive Abdomen Due to Gallstone Ileus: Case Report and Literature Review

Fabricio Grenteski, Laura Mendes Lopes, Gabriel Rodrigo Cavalheiro, Gustavo Henrique Morcelli da Costa, Carlos Roberto Naufel Júnior, Guilherme de Andrade Coelho, Guilherme Ferrarini, Igor Luna Peixoto, José Anderson Feitoza

bjcr14

Multiple endocrinopathies acquired using a checkpoint inhibitor - Pembrolizumab: A Case Report

Gustavo César Sola Barreto Marcelino, Eduarda Lavínia Mota de Miranda, Fernando Sebastianes

bjcr15

Briefly highlighting some unseen evidence of two comorbid COVID-19 patients

Abdullah, Muhammad Salman, Sher Ali, Riaz Muhammad, Aiman Waheed, Muddasir Khan, Sana Ullah, Carlos Augusto Fernandes de Oliveira

bjcr16

Pancreatobiliary diseases in a patient with spontaneous perforation of duodenal diverticulum: a case report

Lucas Terasoto, Paula Heroso Moreira, Enzo Natanael Faccio, Nicolas Fortunato Veiga, Giovana Rezende Fernandes Costa, Adonis Nasr

bjcr18

Liver Abscess Secondary to Duodenal Perforation After Fishbone Ingestion: A Case Report

Fernanda Pombo Rodriguez, Matheus Antônio Chiconelli Zangari, Rodrigo Piltcher-da-Silva, Vivian Lais Sasaki, Doroty Eva Garcia Felisberto, Júlio Cezar Uili Coelho, Eduardo José Brommelstroet Ramos, Micheli Fortunato

bjcr20

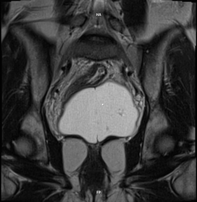
Primary T-Cell Lymphoma of the Prostate in a Dog – Case Report

Marina Laudares Costa, Carlos Eduardo Fonseca-Alves, Gustavo Garkalns de Souza Oliveira, Ana Paula Massae Nakage-Canesin, Paula Christine Bonadio Rezende, Thiago Demarchi Munhoz

bjcr23

Obstructive Jaundice Due to Hydatid Cyst: Case Report

Beatriz Cuiabano Arruda Borges, Juan Kober Manzoni, Luccas Galdino de Oliveira Borges, Carlos Alberto Tomatis Loth

bjcr25

Bilateral Comminuted Mandibular Fracture Caused by Gunshot Wound: Case Report Using Prototyping to Assist Surgical Planning

Julia Tavares Palmeira, Diego Learth Lima, Ricardo Franklin Gondim, José Maria Sampaio Menezes Junior, Clarice Maia Soares de Alcântara Pinto

bjcr30

Tamoxifen Retinopathy. An Uncommon but Serious Complication: Case Report

Lucas Linhares Pierre, Lara Linhares Pierre, Paulo de Tarso Ponte Pierre-Filho

bjcr31

A Case of Quadruple Trouble: SLE's Multi-System Onslaught

Marwa Morgom, Mona M. Alhaj, Sujood Musa Awadelseed, Mohamed Taher Alasfari

bjcr33

Bilateral Extracranial Internal Carotid Artery Dissection: Interventional Management – A Case Report

Payam Sasannejad, Amir Khanmirzaei, Mohsen Soltani, Bahar Karimikhoshnoudian, Reza Gorji, Houman Baharvahdat, Soheil Shokri Shakib, Maryam Payere

bjcr34

Aortic Trauma: A Rare Case Report

Carolina Lacerda Rodrigues, Giovanna Jurucunas de Oliveira Gaeta, Jacqueline Mendes da Cruz, Felipe Ramon Menezes da Silva, Thauane Pereira Nunes, Pedro Gomes Santana, Ana Paula de Carvalho Miranda Rosati, Luis Fernando Rosati

bjcr35

Lymphedema due to Podoconiosis in Brazil

José Maria Pereira de Godoy, Henrique José Pereira de Godoy, Lívia Maria Pereira de Godoy

bjcr36

Alternative Treatment for Iatrogenic Dermatoporosis

Fernanda Cassain, Marisa Gonzaga, Jeovana Soares, Renata Viana, Márcio Serra

bjcr37

Neonatal Chlamydial Conjunctivitis

Nathalia da Cruz Assad Monteiro, Regina Celia de Souza Campos Fernandes, Enrique Medina-Acosta

bjcr38

Thromboembolectomy in a Patient with Acute Arterial Occlusion in the Lower Limb and Complex Postoperative Evolution: Challenges in Emergency Hospital Practice

Juan Manuel Yampara Guarachi, Ana Paula de Carvalho Miranda Rosati Rocha, Julia Habibe, Noemi Fourcroy Maillard, Giovanna Jurcunas de Oliveira Gaeta, Felipe Ramon Menezes da Silva, Pedro Gomes Sant’anna, Carolina Lacerda Rodrigues, Luis Fernando Rosati Rocha

bjcr39

Case report: The use of Venovenous Extracorporeal Membrane Oxygenation in the Treatment of Acute Respiratory Distress Syndrome in Severe Leptospirosis

Fernando de Oliveira e Silva Neto, Renan Gomes Mendes Diniz, Gabriel Cavalcante Lima Chagas, Helen Melo Oliveira Felix, Ana Larissa Pedrosa Ximenes, Bráulio Matias de Carvalho, Fátima Rosane de Almeida Oliveira, Daniel Francisco de Mendonça Trompieri, Juan Alberto Casquillo Meija, Lucia da Conceição Andrade, Elizabeth de Francesco Daher

bjcr40

Anesthetic Management of a Patient with ARC Syndrome - Arthrogryposis, Renal Dysfunction, and Cholestasis: A Case Report

Beatriz Figueiredo Mota Diniz Costa, Maurício Vitor Machado Oliveira, Maria Beatriz Assumpção Mourão Soares de Senna, Marina Ayres Delgado

bjcr41

Femoral Shaft Fracture with Popliteal Artery Injury: A Case Report of a Gunshot Wound

Noémie Fourcroy Maillard, Flávia Nunes Benicio de Souza, João Alexandre Ranzeiro de Bragança dos Santos, Julia Habibe de Souza, Manuella Santos de Rezende, Vinicius Macário Mendes, José Antônio Vieira da Silva Calsoni, Frederico do Amaral Bahia, Ana Paula de Carvalho Miranda Rosati, Luis Fernando Rosati

bjcr42

The Cardiac pathophysiology of Covid-19

Hubert Daisley, Oneka Acco, Haille Joseph, Johann Daisley, Martina Daisley

bjcr43

Effects of Low-Level Laser Therapy in a Black Patient Victim of Facial Burn: A Case Report

Iago Barbosa Vidal, Patrícia Teixeira Silva, Igor Santos da Rocha, Tales Freitas Dantas, Marcelo Leite Machado da Silveira, Bárbara Gressy Duarte Souza Carneiro, Maria Joceleide Jorge, Ricardo Franklin Gondim, José Maria Sampaio Menezes Junior, Ariel Valente Bezerra

bjcr44

Management of Gunshot-Induced Mandibular Fracture in a Young Patient Using External Fixation: A Case Report

Diego Learth Lima, Iago Barbosa Vidal, José Maria Sampaio Menezes Junior, Kariny Oliveira Silva, Nayara Kelly Silva de Oliveira Cavalcante, Ricardo Franklin Gondim, Rildenson Moura Pereira, Ariel Valente Bezerra

bjcr45

Adult T-Cell Leukemia/Lymphoma in the Interior of Bahia: A Case Report

Guilherme Oliveira Santos, Jivago Souza Dias, Rafael Feitosa do Nascimento Passos, Leandro Gois Siqueira

bjcr46

Blunt Thoracoabdominal Trauma with Multiple Injuries in a Motorcycle Accident: A Complex Case Report in the Emergency Room

Ana Paula de Carvalho Miranda Rosati Rocha, Luis Fernando Rosati, Marcos Alvin Abbade, Ana Luiza de Carvalho Miranda Rosati Rocha, Vinícius Alves Carneiro Lima

bjcr48

The Crack Lung – A Case Report

Débora Lopes, Cátia Gorgulho, Joana Ribeiro, André Neto Real, Nuno Catorze

bjcr49

When Pulmonary Tuberculosis Leads to Pneumothorax: An Unusual Presentation

Catarina Bettencourt Giesta, Manuel d'Almeida, Sara Pires Ferreira

bjcr50

Acute Acalculous Cholecystitis Associated with Severe Malaria – A Case Report

Teresa Oliveira, Ana Clara Dinis, Sofia Narciso, Tiago Pereira, Nuno Catorze

bjcr52

Mandibular Reconstruction with a Free Rib Graft: Case Report and Literature Review

Kariny Oliveira Silva, Diego Learth Lima, Antônio Mont'Alverne Lopes Filho, José Maria Sampaio Menezes Júnior, Ricardo Franklin Gondim, Raimundo Thompson Gonçalves Filho, Murilo Alves Teixeira Neto, José Lincoln Carvalho Parente

bjcr53

The Challenge of Urogenital Tuberculosis Diagnosis in Elderly Patients

Carolina Seabra, Ana Filipa Silva, Raquel Duro, André Paupério, Vitor Fagundes

bjcr54

Pseudoaneurysm of Muscular Artery in the Thigh Following Low-Energy Trauma: A Case Report

Luis Fernando Rosati, Ana Paula Miranda Rosati, Ana Luiza de Carvalho Miranda Rosati Rocha, Jorge Ribeiro, Rayane Freitas de Oliveira, Davi Couto Pimenta, Jennifer Ferreira de Matos

bjcr55

Surgical Management of Extensive Facial Laceration: A Case Report

Emanoel Italo de Almeida Silva, Nayara Kelly Silva de Oliveira Cavalcante, Rildenson Moura Pereira, Iago Barbosa Vidal, Josfran da Silva Ferreira Filho, Ricardo Franklin Gondim, José Maria Sampaio Menezes Junior, Manoel de Jesus Rodrigues Mello, Abrahão Cavalcante Gomes de Souza Carvalho

bjcr56

Ramsay Hunt Syndrome – Case Report

Joana Freitas Ribeiro, Cátia Gorgulho, Ana Matos, Tiago Alves

bjcr58

Platypnea-Orthodeoxia Syndrome: A Rare Cause of Dyspnea

Joana Freitas Ribeiro, Cátia Gorgulho, Débora Lopes, Ana Matos, Luís França, Nuno Catorze

bjcr63

Posterior Chordae Rupture of the Tricuspid Valve due to Myocardial Infarction: A Rare Entity Among Tricuspid Valve Pathologies

Endri Balla, Okay Karslıoğlu, Zoukou Marie France Dominique Seri, Denizhan Akpınar, Ecem Tuğba Yamaç, Elshad Mansımzada, Hakkı Tankut Akay, Elvin Kesimci, Atila Sezgin

bjcr64

Rehabilitation of the Atrophic Maxilla with the Hybrid All-on-Four Technique Associated with Pterygoid Implants: Case Report

Breno Silva do Amaral, Maria Taywri Almeida Costa, Vilmar Santos de Almeida, Raphael Carvalho e Silva, Mauro Luiz Travessa de Barros, José Silva Junior

bjcr66

Hospital Dentistry Approach to a Patient with Mucormycosis treated with Amphotericin B: Case Report

George Matos Ferreira Gomes Júnior, Ivyna Maria Cardins Falcão, Carla Welch da Silva, Isaac Müller de Sousa Maia, Camila de Oliveira Lobo, Luanda Ashley Menezes Estácio, Jonas Nogueira Ferreira Maciel Gusmão, Daniel Facó da Silveira Santos, Eliardo Silveira Santos

bjcr68

Chronic Quadriceps Lesion with Peroneus Longus Autograft - A Case Report

Diego Escudeiro de Oliveira, Bruno Arjonas Bononi, Juliano Malpaga, Marcos Vaz, Pedro Baches

bjcr69

Clinical Efficacy of Medicinal Plants Formulations for the Prevention of Androgenetic Alopecia in Korean Individuals

Neha Kaushik, Ihseop Chang, Suhyeon Park, Youngju Sohn, Kyung-A Choi, Young Kum Park, Wonkyu Wonkyu, June-Hyun Kim

bjcr70

Clinical Repercussions of Guillain-Barré Syndrome: A Case Study and Systematic Review

Lígia Maria Oliveira de Souza, Paloma Marcela Vigilato , Alessandra Savi Bellizzi, Dalle Jayder Braga Alencar, Gustavo Mendes Rezende Costa, Andrea Paola Britos Gomez, Bárbara Priscila Alves de Souza, José Andrés Alfonzo Segovia

bjcr71

Supernumerary Tooth in Ectopic Position in the Mandible: Case Report

Daiana Arruda do Arruda, Larisse Eduarda Nunes Sá, Maria Sarony Araújo Silva, Jaqueline Pernambuco Mororó, Karla Isabel Girón Martorell, Eduardo Ribeiro Sampaio, Samuel Rocha França, Josfran da Silva Ferreira Filho

bjcr75

The Importance of Early Initiation of Prenatal Care: A Case Report

Valéria Ronsom Bilinski, Eduarda Fanhani Cracco, Maria Clara Marin, Luiza Maria Nickenig, Helena Almada Heleno, Renam Arthur de Sousa

bjcr77

Crohn's Disease with Gastric Involvement: A Case Report

Amanda Gabriele Alves Cobiniano de Melo, Amanda Guimarães Loureiro, José Leandro Nascimento da Silva, Luann Bambach Marinho, Dauana Arruda de Oliveira Bastos

bjcr78

Primary Small Cell Neuroendocrine Carcinoma of the Mediastinum: Case Report of a Rare Entity

Magno Giovani Zanellato, Elida Paula Benquique Ojopi, Daniela Cristina dos Santos Souza

bjcr79

Surgically Assisted Maxillary Expansion and Orthognathic Surgery in the Treatment of Hypoplastic Maxilla: An Ortho-Surgical Case Report

Camila Lopes Rocha, Francisco Samuel Rodrigues Carvalho, Maykel Sullyvan Marinho de Souza, João Octávio Pompeu Hyppolito, Marcelo Leite Machado da Silveira, Ana Beatriz Nobre de Alencar, Ícaro Girão Evangelista

bjcr80

Rehabilitation with Five Osseointegrated Implants in an Atrophic Maxilla: A Case Report

Bárbara Nathalia Marques de Lima, Maria Taywri Almeida Costa, Vilmar Santos de Almeida, Raphael Carvalho e Silva, Mauro Luiz Travessa de Barros, Francisco Amadis Batista Ferreira, José da Silva Junior

bjcr84

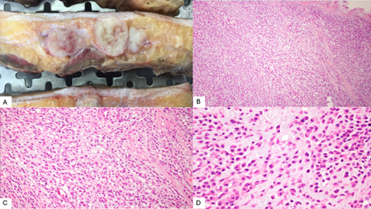
Malignant Peripheral Nerve Sheath Tumor with Rhabdomyoblastic Differentiation: Diagnostic Challenges and Literature Review

Rafaela Cabeda, Bruno Vinícius Fauth, Robson Rottenfusser, Nicoli Taiana Henn, Vitória Brusamarelo

bjcr85

Duodenal Ulcer Complicated with Massive Upper Gastrointestinal Bleeding: Case Report

Emanuel da Cruz, Indira Eugénia Eduardo, Francisco Panzo, André Domingos Faucatino, Stephany Lukeni e Silva

bjcr87

A Challenging Case of Leptospirosis

Ana Bento Leite, Raquel Santos, Mariana Maia

bjcr88

Surgical Management of Submandibular Gland Sialolithiasis: A Case Report

Davi Barbosa Portela, Josfran da Silva Ferreira Filho, Eduardo Ribeiro Sampaio, Bruna Salgado Piato Souza, Larissa Betina Alves Escobar, Radamés Bezerra Melo, Maria Fabiane Parente Martins

bjcr89

A Diagnostic Approach of Dermatophytic Pseudomycetoma in a Persian Cat

Reiner Silveira de Moraes, Luíz Guilherme Dércore Benevenuto, Júlia Franco Ferreira, Natielly Dias Chimenes, Diego Ribeiro, Robert Pereira Martins, Rodolfo Medrada de Oliveira, Raphaella Barbosa Meirelles Bartoli, Vera Lucia Dias da Silva, Alana Flávia Romani

bjcr90

Efficacy of Plasma Exchange in Myasthenia Gravis Following Long COVID in a Resource-Limited Context: A Case Report

Rosita Bihariesingh-Sanchit, Rakesh Bansie, Rocade Ma, Sharon Veenbergen, Dimitri Adriaan Diavatopoulos, Marien Isaäk de Jonge, Arno Nierich

bjcr91

Juvenile Disseminated Paracoccidioidomycosis in an Immunocompetent Young Patient: A Case Report

Joseli Aparecida Braga Mota, Carolina Oliveira de Avila, Daniela Marin Machado Silveira, Gabriel da Silva Teixeira, Victória de Paula Mendonça, Lynea Glasyele Honorato Pereira, Patricia Roberta dos Santos, Rodrigo Aparecido Silva

bjcr92

Semaglutide Associated with Central Serous Chorioretinopathy: A Case Report

Lívia Peregrino Rodrigues, André Lucas Loureiro Rubatino, Antônio Carmo Rubatino Junior, Juliano Flávio Rubatino Rodrigues, Fernando Victor Martins Rubatino, Gerardo Maria de Araújo Filho

bjcr93

Sitting Face-To-Face Awake Intubation as an Alternative to a Difficult Airway: A Case Report

Camila Gomes Dall"Aqua, David Ribeiro do Nascimento, Katharina Lanza Japolino, Marina Ayres Delgado

bjcr95

Primary Hepatic Leiomyosarcoma - A Rare Neoplasm with Diagnostic and Therapeutic Challenges

João Kleber de Almeida Gentile, Beatriz Terezinha Franco Renesto, Eloíza Helena Dias Quintela, Alexandre Sacchetti Bezerra, Flavia Magella, Luís Fernando Alves Miléo, Daniel de Castilho da Silva, Ronaldo Modesto de Souza Filho, André Cosme Oliveira

bjcr96

Stenting the Ductus Arteriosus of a Patient with Tetralogy of Fallot and Trisomy 18: Case Report and Updated Review

Márcio Erlei Vieira de Sá Filho, Marina Ayres Delgado, Bruno Vinicius Castello Branco, David Ribeiro do Nascimento

bjcr97

Heterotopic Ossification with Classical Hodgkin Lymphoma in a Surgical Incision: A Case Report

Bárbara Loeser Faro, Leonardo Fleury da Silva, Nathalia Nakase Mizoguti, Ana Carolina Medeiros, Mariana Marques Wolski, Fernando Andrade Vellozo, Adônis Nasr

bjcr99

Acute Otomastoiditis in a Preterm Newborn: A Case Report

Ozanil Cursino Araújo, Tatiane Maria de Miranda Tatiane Maria de Miranda, Dafne Barcala Coutinho do Amaral Gomez, Francisco De Biase, João Guilherme Bezerra Alves

bjcr100

Mycobacterium abscessus Infection in Dermatomyositis with Calcinosis Cutis Universalis

Renata Travassos de Oliveira Meirelles, Lucas Viana Alves Castro, Gabriela Maria Rocha Fonseca, Anna Paula Mota Duque Sousa, Mittermayer Barreto Santiago

bjcr102

Percutaneous Transhepatic Gallbladder Drainage for Acute Cholecystitis During Chemotherapy: Case Series

Munehiro Yoshitomi, Ryuichi Kawahara, Hiroki Kanno, Shogo Fukutomi, Shoichiro Arai, Yuichi Goto, Masanori Akashi, Toshihiro Sato, Hisamune Sakai, Toru Hisaka

bjcr103

Advanced Squamous Cell Carcinoma of the Tongue in an Elderly Patient: A Clinical and Histopathological Case Report

Marcelo Rodrigues Azenha, Plauto Christopher Aranha Watanabe, Brenda Pattigno Forero, Renan de Barros e Lima Bueno, Kléber Augusto Loureiro, Jorge Squiche Leon

bjcr104

Bilateral Total Cataract in a Young Patient After Septic Shock: Diagnostic and Therapeutic Approach

João Victor Tenório Lossio de Macedo, Carolina Oliveira de Ávila, Pedro Carrión Carvalho, Lucas Cavinato Kwitko, Mariana Vieira Cavalcante da Silva, Sarah Correa Soler Albino Titz de Rezende, Enzo Gallardo Gomes, Pedro Henrique Santana Moreira, Isabela Ussifati Negrine, Júlia Tenório Lossio de Macedo, Ariane Oliuza dos Santos

bjcr106

Gastric Neuroendocrine Tumour and Pernicious Anemia in a Young Male: Case Report

Ana Bento Leite, Luis Veiga, Gonçalo Mesquita, Filipa Novo, Anita Campos

bjcr107

Alternative Method for Airway Approach in Anesthesia of a Newborn with Occipital Encephalocele

Thatiane Noel Ximenes, Marco Antônio Cardoso de Resende, Rogério Luiz da Rocha Videira, Andrea Jorge e Silva, Joana de Almeida Figueiredo, Iara Tânia Gonçalves, Bruno Camara de Resende

bjcr22

High-Grade Cutaneous Fibrosarcoma

Beatriz Cuiabano Arruda Borges, Juan Kober Manzoni, Luccas Galdino de Oliveira Borges, Carlos Alberto Tomatis Loth

bjcr24

Open-Lip Schizencephaly in Adulthood

Joana Freitas Ribeiro, Cátia Gorgulho, Ana Matos

bjcr61

Colloid Cyst of the Third Ventricle – A Rare Cause of Headache

Joana Freitas Ribeiro, Cátia Gorgulho, Ana Matos, Tiago Alves

bjcr62

From Chest X-Ray to CT: Diagnosing Right Aortic Arch with Kommerell´s Diverticulum

Humberto Morais, Miguel Vicente, Tshimbalanga Merite, Mauer Alexandre da Ascensão Gonçalves

bjcr74

Neurological Symptoms in Cirrhotic Patients – Not Always Encephalopathy

Bárbara Silva, Carolina Seabra, Fátima Costa, Mariana Meireles, Joana Meireles

bjcr76

Extensive Left Ventricular Thrombosis in a Young Patient: An Unexpected Threat

Humberto Morais, Tshimbalanga Merite, Miguel Vicente, Capela Pascoal, Mauer Alexandre da Ascensão Gonçalves

bjcr81

Recurrent Spontaneous Coronary Dissection: When the Conservative Strategy Fails

Miguel Bernardino Antunes Vicente, Roger Dopico, Luis Mariano, Humberto Morais, Paula Matadi, Elizabeth Banzanga, Domingos Ramos

bjcr82

Takayasu's Arteritis and Double Right Renal Artery: A Previously Unreported Association

Mauer Alexandre da Ascensão Gonçalves, Humberto Morais, Miguel Bernardino Antunes Vicente, Capela Pascoal, Tshimbalanga Merite

bjcr86

View All Issues

Edited by:

 

Registered in:       

 

Indexed in:                                                                    

 

Cited by:   

 

Follow us on Instagram:

Contact us: